Problem in Your Teeth?
Chat with Helodent
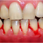
Click a Photo of your Teeth
Consult ONLINE Now!
Healthy Smiles for over 32 Years
Why Helodent ?
✅ Avoid Travel
✅ Consult from home
✅ Your Data. Protected with Trust
❌ No AI diagnosis
❌ No Automated voice calls
✅ Talk to Real Dentists ONLINE
✅ Get Budget & Plan Before Visiting the Clinic
Do you have any of these problems ?
Click a Photo of your Teeth
About Us
Certified Dentists Committed to Excellence
Helodent is a global pioneer in digital dental consultation.
We connect you directly with expert dentists—anytime, anywhere—for hassle-free advice, second opinions, and treatment guidance.
Our mission is to support those who delay dental visits due to fear, busy schedules, or uncertainty.
Simply share your dental concern with images, and our panel will suggest probable diagnoses, treatment plans, and even help book appointments with nearby dentists.
Our Services
All Your Dental Needs at One Place
Virtual Consultation
Upload a photo of your affected teeth on WhatsApp and let our expert dentists provide you with the right remedies and personalized guidance
100% transparent pricing
We offer 100% transparent pricing for dental consultations, ensuring you know the exact cost upfront with no hidden charges or surprises
Fast Appointment
Book your dental appointment easily online with Helodent. Choose your preferred time, confirm instantly & connect with expert dentists
First opinion
Get your first opinion from our virtual dental doctors. Quick, reliable, and professional consultation online, anytime, anywhere.
Dental Tourism
Experience world-class dental care with our dental tourism services—affordable treatments, expert dentists, seamless travel assistance, and personalized care abroad
After treatment support
Our after-treatment support ensures continuous care, follow-up guidance, recovery tips, and treatment support, helping patients achieve lasting oral health confidently
How we started..
Meet our Founder
Dr. A. Manickavasagam, BDS
Founder and Managing Director of Helodent – brings over 32 years of clinical experience & 7 years of ONLINE consultation. An alumnus of Tamil Nadu Government Dental College (1987–1992), he has treated thousands of patients with expertise and care.
- 32+ Years of experience
- Highly Equipped Chain of Clinics
- Quality & Care on International Standards
He created this Helodent portal to make dental consultations easy and accessible for patients, connecting them with expert care anytime, anywhere.
Testimonials
What Our Clients Say
FAQ (Frequently Asked Questions)
Take a clear photo of your teeth using your phone (with good lighting) and send it via WhatsApp to our consultation number. Make sure your teeth are visible and the photo is not blurry.
Yes! After booking your appointment, you can directly chat with our dentist on WhatsApp for guidance, photo sharing, or any pre-consultation questions.
Our dentist will review your photos, listen to your concerns, and guide you on treatment options, estimated costs, and whether an in-clinic visit is needed.
Absolutely. All consultations are confidential and conducted through secure video platforms to protect your privacy and data.
Yes. Based on your dental photos and consultation, you’ll receive a detailed treatment plan and cost estimate before you visit any clinic.
If you are experiencing severe pain, bleeding, or swelling, we recommend visiting a nearby dental clinic immediately. Our team can guide you to the closest available partner dentist.
